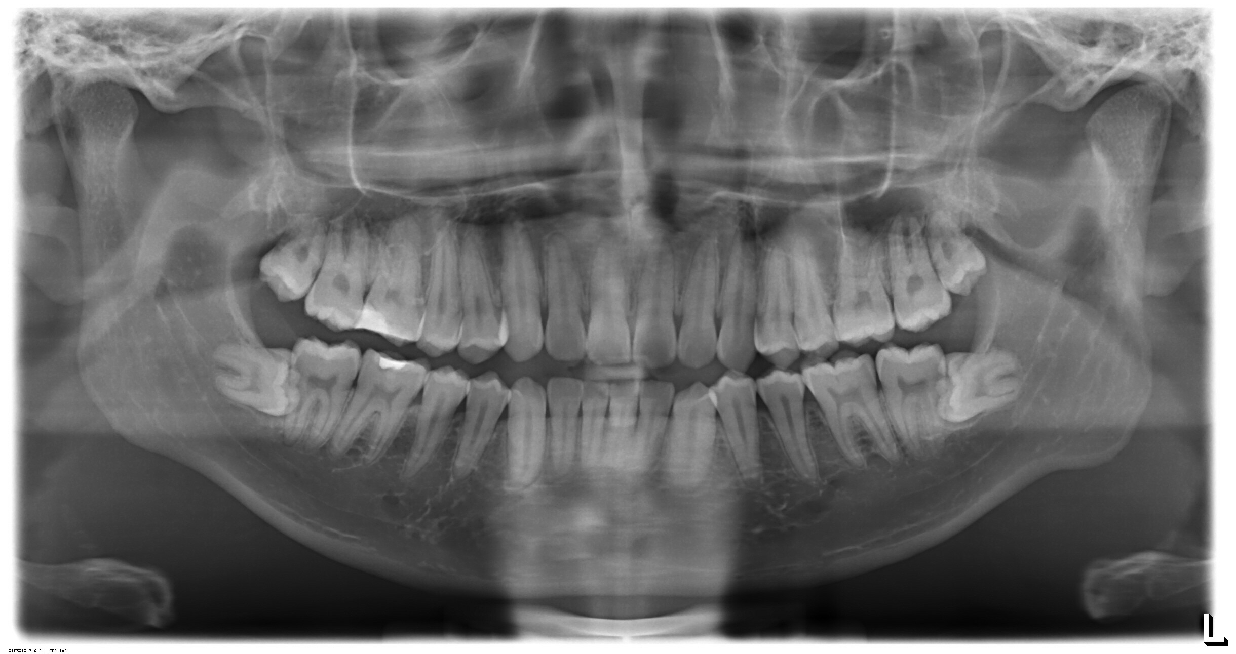
Submitted by kasuma9999 t3_10prqtx in mildlyinteresting
Comments
surelythisisfree t1_j6mazsv wrote
I think this is pretty common. Mine were almost the same as this.
SirSpot86 t1_j6mg7ch wrote
Mine look identical to this too, they haven't moved in over 20 years and don't cause me any discomfort.
kasuma9999 OP t1_j6mi5dq wrote
I xrayed them out 3 years ago and they just begin to murder me since Sunday.
Apart_Plate_8153 t1_j6nrghc wrote
Oof, that sucks. Sorry.
kasuma9999 OP t1_j6m921g wrote
We must be brothers then!
anne_marie718 t1_j6mqs9e wrote
Mine were the same. Had to get them removed when I was 14 or they would have totally screwed up the rest of my teeth
cabbagewindow t1_j6m1qjg wrote
Me too! Managed to get one taken out a couple of years ago but they won't touch the other because of the nerves. Hope yours aren't causing you too much trouble
kasuma9999 OP t1_j6m2vns wrote
Much appreciated your support. They are giving me very bad migraine right now, i am trying to find a reliable place for surgery, some less experienced doctors i have seen seem to be not confident enough to take them out.
cabbagewindow t1_j6n6ewg wrote
Yeah I sat in front of a dentist who said he was worried he'd leave my face paralysed. I was like... yeah, I'm cool with you NOT doing this. Turned out they ALL said that, so in it stays unless it causes me so much trouble I risk it. Luckily the other one was an easy removal. Hoping the best for your outcome!
kester76a t1_j6m29bf wrote
Coronectomy time. I had one of my wisdoms done but it had already damaged the root of the other tooth due to NHS budget cuts.
My expirence of the coronectomy was pretty good. Half an hour OP where they remove the crown of the wisdom tooth and then stitch the root into the gum. Stitches start falling out a day or two later and it heals really quickly. I had paracetamol but probably didn't need it.
kasuma9999 OP t1_j6miahl wrote
Hope my extraction this weekend is as nice as your.
kester76a t1_j6mk47u wrote
Extraction would have meant a scan to check where the nerves were and was more expensive. Plus it's done under a local and I was just having the one out.
Hope your extraction goes well. I need to have one later to remove the tooth with the damaged root but it's a wait till it goes bad thing. Glad they got to yours in time.
Top-Entrepreneur-651 t1_j6mjd26 wrote
For wisdom teeth they aren't very wise.
Jakesneed612 t1_j6mczkr wrote
Been there, done that. Get rid of them before the issues really start. Trust me.
GrecoAP t1_j6nddft wrote
Yup, I had to go through three surgeries to remove a golf ball sized cyst in my lower jaw, that developed because I took too long to remove my impacted wisdom tooth.
Jakesneed612 t1_j6ohoa2 wrote
Damn, I only had one of mine abscess on Christmas Eve one year. Horrible pain.
sharksnut t1_j6mhmwn wrote
You're doing it wrong
kasuma9999 OP t1_j6mi2zn wrote
I am suspecting that's the case as well.
Old-Struggle-4425 t1_j6m2ew9 wrote
Wisdom looks scary
GforceDz t1_j6m4yhj wrote
My you got some stupid wisdom teeth there.
Mine weren't playing nice so they got kicked out.
PaulR79 t1_j6ml43d wrote
If you ever notice any slight twisting of your front teeth get the wisdom teeth pulled ASAP. If they don't grow or push you're fine but you really don't want them causing your front teeth to twist as they're robbed of space. Source: Didn't notice until it was too late for mine.
marcanthonynoz t1_j6mpetb wrote
We have similar teeth it seems lol.
Both my bottom ones are impacted like that but only one broke skin. I’m afraid to get it removed though because the doctor can’t see if it goes that deep, he said I may experience loss of feeling.
kasuma9999 OP t1_j6n6f1c wrote
I was about to remove them but from your case i might reconsider if becoming a goth dad bob is better.
Hilltoptree t1_j6mz19k wrote
Looks like mine except i only have it to one teeth. It just endless pain.
Had to have it taken out by surgery (local dentist will not touch it). The surgeon was like you want your other three out too since you being put under general anaesthetic anyway. (Buy one get three free?) i chose not to so i still got three wisdom teeth. Currently seems to be a good idea as the molar next to the wisdom teeth taken out seems to get a small wobble the others do not have this problem. Guess they are acting like door stop for the teeth at the back.
[deleted] t1_j6m0sfz wrote
[deleted]
GH0ULi0 t1_j6m0sq7 wrote
Ouch.
No_Power3927 t1_j6m14u7 wrote
dekudeku8907 t1_j6m43e2 wrote
I had the same thing happen to me but it was the upper jaw.
SlightlyAverageLemon t1_j6m465t wrote
so grateful most my family was born without these.
RooneyD t1_j6m4czc wrote
So wise, so wise
kasuma9999 OP t1_j6mi6zh wrote
So stupidly wise eh.
ursus-habilis t1_j6mfpl8 wrote
Mine are pretty much the same - never caused any trouble, still there some decades later so not everyone needs them extracted...
doubleflush t1_j6mg27c wrote
don’t do a osseous graft that looks like it’s not by my insurance might be out $600 .. my dental surgeon is worse than a used car salesman
oxtraerdinary t1_j6mlcak wrote
Is this loss?
LordDagron t1_j6mp7tj wrote
Mine are like this, never had any issues at 27 years old.
kasuma9999 OP t1_j6mwrp6 wrote
I was around your age when i first being aware of them 4-5 years ago. They just began to murder me since sunday. Extreme migraine and can't sleep at all, feel like the molar is about to explode to dust due to the pressure. I count day by day ti the weekend so i can take it out.
queenofcaffeine76 t1_j6ms4ov wrote
My bottom ones are like this. My top ones were growing in at a 45-degree angle toward the back of my mouth.
Reaver_XIX t1_j6mwdeu wrote
In the bottom jaw too, you will need surgery if start causing you pain. I know from experience.
Reasonable_Copy8579 t1_j6n0yhw wrote
Those bad boys need to be taken out!!
Kurineko_Regan t1_j6n40z5 wrote
mine are very similar!
Plantaehaulic t1_j6o65i3 wrote
I have left shoulder pain and Jaw pain for years and after my wisdom tooth surgically removed. The pain instantly goes away. Hope you find relief😊
[deleted] t1_j6orgif wrote
Why do teeth grow this way? It doesn’t make any sense.
[deleted] t1_j6pb67g wrote
[deleted]
kunkworks t1_j6piuqa wrote
Very unwise of them.
Muted-Mistake-6678 t1_j6m69qk wrote
Omfg is this mine? I swear it looks just likr mine did.